Wichtiger Sicherheitshinweis: Pathorama wurde zwischen dem 26. und 27. Dezember 2025 angegriffen. Falls Sie die Website in diesem Zeitraum besucht haben, lesen Sie bitte die wichtigen Informationen hier:
Zur Information

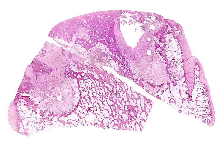
PathoPic – image database / PathoPic ID 4602 - Coxarthrose

de
Diagnose
Coxarthrose
Diagnose Gruppe
Trauma / mechanischer Schaden
Topographie
Knochen, Femurkopf
Topographie Gruppe
Knochen, Knorpel, Gelenke
Beschreibung
Zusammengehörige topographische Übersichtspräparate eines Schenkelkopfes mit Arthrose, von zwei verschiedenen Paraffinblöcken stammend. Die Präparate passen mit ihren Schnittflächen in etwa zusammen. Im Randbereich erhaltener Gelenkknorpel. Randosteophyt. Geröllzysten.
Klinik
74-jährige leicht adipöse Patientin mit Anlaufschmerz, belastungsabhängigem Schmerz und zunehmender Versteifung im Hüftgelenk. Im Röntgenbild des Hüftgelenks zeigen sich eine Gelenkspaltverschmälerung, subchondrale Osteolysen, Usuren und randständige Osteophyten.
Bilder Typ
Histologie
Vergrösserung
Scan
Alter
74
Geschlecht
unbekannt
Datum
Ersteintrag: 06.10.2002
Update: 25.01.2007