Wichtiger Sicherheitshinweis: Pathorama wurde zwischen dem 26. und 27. Dezember 2025 angegriffen. Falls Sie die Website in diesem Zeitraum besucht haben, lesen Sie bitte die wichtigen Informationen hier:
Zur Information

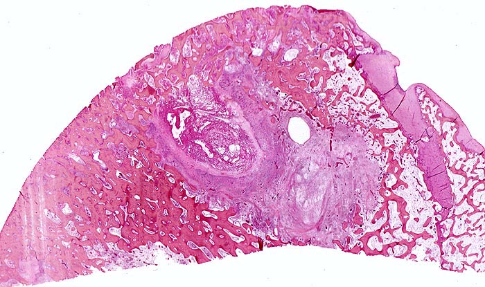
PathoPic – image database / PathoPic ID 4601 - Coxarthrose

de
Diagnose
Coxarthrose
Diagnose Gruppe
Trauma / mechanischer Schaden
Topographie
Knochen, Femurkopf
Topographie Gruppe
Knochen, Knorpel, Gelenke
Beschreibung
Die Knorpelbedeckung der Gelenkfläche fehlt grösstenteils, die Oberfläche selbst ist deutlich abgeflacht und zeigt eine starke sekundäre Sklerose der freiliegenden Spongiosa mit Anbau von breiten Faser- und Lamellenknochensäumen an die alten Bälkchen. In der Gelenkfläche mehrere kleine Bezirke mit Faserknorpel, der metaplastisch entstanden ist. Die Spongiosa in der Tiefe zeigt im Bereich der Belastungszone eine fortschreitende Sklerose, während die Entlastungszonen craniolateral eine leichte Osteoporose aufweist. Am craniolateralen Rand Entwicklung eines Randosteophyten, welcher über den Resten des dort noch vorhandenen Gelenkknorpels entstanden ist (Verdoppelung des Knorpels). Grössere sogenannte Geröll- oder Ueberlastungs-Zyste, welche einem Nekrosebezirk mit Abbau des toten Gewebes und Ersatz durch neu entstandenes Bindegewebe entspricht. Dieses Bindegewebe wird sekundär dann wieder verknöchert.
Klinik
74-jährige leicht adipöse Patientin mit Anlaufschmerz, belastungsabhängigem Schmerz und zunehmender Versteifung im Hüftgelenk. Im Röntgenbild des Hüftgelenks zeigen sich eine Gelenkspaltverschmälerung, subchondrale Osteolysen, Usuren und randständige Osteophyten.
Bilder Typ
Histologie
Vergrösserung
Scan
Alter
74
Geschlecht
unbekannt
Datum
Ersteintrag: 06.05.2002
Update: 25.01.2007