Wichtiger Sicherheitshinweis: Pathorama wurde zwischen dem 26. und 27. Dezember 2025 angegriffen. Falls Sie die Website in diesem Zeitraum besucht haben, lesen Sie bitte die wichtigen Informationen hier:
Zur Information

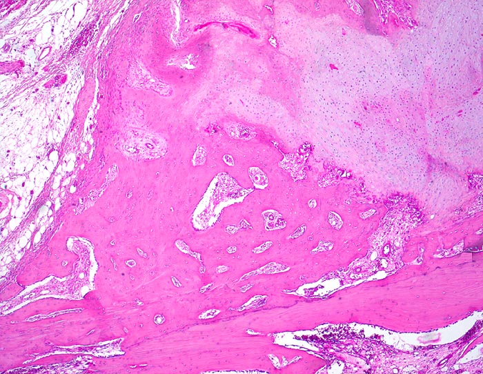
PathoPic – image database / PathoPic ID 4598 - sekundäre Frakturheilung: Kallus

de
Diagnose
sekundäre Frakturheilung: Kallus
Diagnose Gruppe
Trauma / mechanischer Schaden
Topographie
Knochen, Rippe
Topographie Gruppe
Knochen, Knorpel, Gelenke
Beschreibung
Dem Frakturspalt aussen aufsitzender knöcherner und knorpliger Kallus mit Zonen der enchondralen Ossifikation. Extraperiostales Fettbindegewebe.
Klinik
Konservativ behandelte Rippenfraktur nach Sturz vor einem Monat.
Kommentar
Die Frakturenden werden durch den Kallus überbrückt. In der Frühphase der Heilung wird ein Übermass an Bindegewebe, Knorpel und Knochen gebildet vor allem bei ungenügender Ruhigstellung. Während der Ausreifung des Kallus werden diejenigen Gewebsanteile, welche keiner erhöhten Belastung ausgesetz sind, wieder resorbiert. Der Kallus wird im Verlauf der Zeit zunehmend kleiner.
Bilder Typ
Histologie
Vergrösserung
25
Alter
82
Geschlecht
männlich
Datum
Ersteintrag: 04.07.2002