Wichtiger Sicherheitshinweis: Pathorama wurde zwischen dem 26. und 27. Dezember 2025 angegriffen. Falls Sie die Website in diesem Zeitraum besucht haben, lesen Sie bitte die wichtigen Informationen hier:
Zur Information

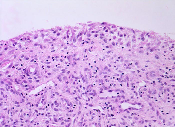
PathoPic – image database / PathoPic ID 4585 - chronische Bursitis mit akutem fibrinösem Schub

de
Diagnose
chronische Bursitis mit akutem fibrinösem Schub
Diagnose Gruppe
Entzündung / Reparatur
Topographie
Bursa praepatellaris
Topographie Gruppe
Weichteile
Beschreibung
Auskleidung der Bursawand durch Synoviozyten. Sie gleichen den Fibroblasten des angrenzenden Stromas. Lockeres Infiltrat von Lymphozyten und neutrophilen Granulozyten in der Bursawand.
Klinik
Exzision der Bursa präpatellaris eines Plattenlegers wegen zunehmender Schmerzen in der Patellargegend bei knieender Tätigkeit und rezidivierenden druckschmerzhaften Weichteilschwellungen über dem rechten Knie.
Kommentar
Bursen sind gleich aufgebaut wie Gelenkkapseln (Synovialis) oder Sehnenscheiden; von innen nach aussen:

- Ein- bis zweischichtige Zellschicht aus Synoviozyten
- Lockeres, zell- und gefässreiches Stratum synoviale
- Straffes Stratum fibrosum
Die Synoviozyten sind keine Epithelzellen, sondern mesenchymale Zellen.
Bilder Typ
Histologie
Vergrösserung
200
Alter
43
Geschlecht
männlich
Datum
Ersteintrag: 05.05.2002