Wichtiger Sicherheitshinweis: Pathorama wurde zwischen dem 26. und 27. Dezember 2025 angegriffen. Falls Sie die Website in diesem Zeitraum besucht haben, lesen Sie bitte die wichtigen Informationen hier:
Zur Information

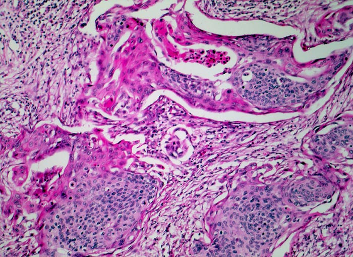
PathoPic – image database / PathoPic ID 4583 - Invasives Plattenepithelkarzinom der Zervix

de
Diagnose
Invasives Plattenepithelkarzinom der Zervix
Diagnose Gruppe
maligner Tumor
Topographie
Zervix
Topographie Gruppe
Genitalorgane, weiblich
Beschreibung
Unregelmässig begrenzte Tumorzellstränge liegen in einem lockeren desmoplastischen Tumorstroma. Ein Teil der Tumorzellen zeigt eine deutliche plattenepitheliale Differenzierung mit reichlich hypereosinophilem Zytoplasma.
Klinik
Im Portioabstrich anlässlich einer gynäkologischen Kontrolle Pap V, Hysterektomie
Bilder Typ
Histologie
Vergrösserung
100
Alter
41
Geschlecht
unbekannt
Datum
Ersteintrag: 06.05.2002
Update: 30.07.2010