Wichtiger Sicherheitshinweis: Pathorama wurde zwischen dem 26. und 27. Dezember 2025 angegriffen. Falls Sie die Website in diesem Zeitraum besucht haben, lesen Sie bitte die wichtigen Informationen hier:
Zur Information

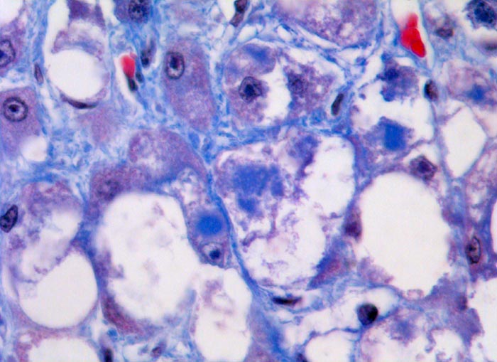
PathoPic – image database / PathoPic ID 4548 - aethylische Leberzirrhose: Mallory-Denk Körper und Steatose

de
Diagnose
aethylische Leberzirrhose: Mallory-Denk Körper und Steatose
Diagnose Gruppe
Therapiefolgen
Topographie
Leber
Topographie Gruppe
Leber, Gallenwege, Pankreas
Beschreibung
Zytoplasmatische Einschlüsse (Mallory-Denk-Körper): Irregulär begrenzte, pfützenartige blaue bis blau-graue Zytoplasmastrukturen; übriges Zytoplasma mit univakuolärem herausgelöstem Lipidtropfen. Die einzelnen Hepatozyten werden von einem feinen bindegewebigen Netz umgeben (Maschendrahtfibrose).
Klinik
Seit Jahren Konsum von 1l Wein täglich
Kommentar
Die ausgeprägte Steatose weist auf einen aktuell bestehenden Alkoholabusus hin. Die breiten Bindegewebssepten sind typisch für die aethylisch bedingte Zirrhose.
Bilder Typ
Histologie
Vergrösserung
400
Alter
48
Geschlecht
männlich
Datum
Ersteintrag: 15.04.2002
Update: 06.02.2009