Wichtiger Sicherheitshinweis:
Pathorama wurde zwischen dem
26. und 27. Dezember 2025
angegriffen. Falls Sie die Website in diesem Zeitraum besucht haben, lesen Sie bitte die wichtigen Informationen hier:
Zur Information
Pathopic
HiPaKu
ZyPaKu
Projektinfos
PathoPic - Projekt- und Copyright-Info
About
Pathopic
HiPaKu
ZyPaKu
PathoPic – image database
/
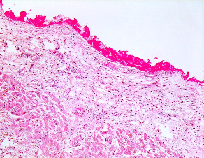
PathoPic ID 4541 - Pericarditis fibrinosa episthenocardiaca
de
Diagnose
Pericarditis fibrinosa episthenocardiaca
Diagnose Gruppe
Entzündung / Reparatur
Topographie
Perikard
Topographie Gruppe
Körperhöhlen, Serosa
Beschreibung
Epikard mit zottigen
Fibrinauflagerungen.
Klinik
Diagnose eines Myokardinfarktes vor 8 Tagen.
Bilder Typ
Histologie
Vergrösserung
50
Alter
75
Geschlecht
unbekannt
Datum
Ersteintrag: 15.04.2002
CPS
·
©
2025 Institut für Pathologie Basel
/
Dr. med. Katharina Glatz-Krieger
.
·
v2.2