Wichtiger Sicherheitshinweis: Pathorama wurde zwischen dem 26. und 27. Dezember 2025 angegriffen. Falls Sie die Website in diesem Zeitraum besucht haben, lesen Sie bitte die wichtigen Informationen hier:
Zur Information

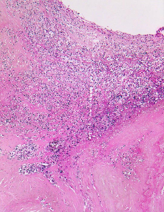
PathoPic – image database / PathoPic ID 4540 - Endocarditis ulcero-polyposa der Aortenklappe

de
Diagnose
Endocarditis ulcero-polyposa der Aortenklappe
Diagnose Gruppe
Entzündung infektiös
Topographie
Aortenklappe
Topographie Gruppe
Kardiovaskuläres System
Beschreibung
In dem Zwickel zwischen noch erhaltener Klappe und Polyp beginnende Granulationsgewebsbildung.
Klinik
Akut einsetzendes Krankheitsbild mit Fieber, Schüttelfrost, Müdigkeit und Dyspnoe. Blutkulturen wiederholt positiv für Staphylokokkus aureus. Keine Klappenvorschädigung bekannt.
Bilder Typ
Histologie
Vergrösserung
50
Alter
82
Geschlecht
männlich
Datum
Ersteintrag: 15.04.2002
Update: 06.12.2006