Wichtiger Sicherheitshinweis: Pathorama wurde zwischen dem 26. und 27. Dezember 2025 angegriffen. Falls Sie die Website in diesem Zeitraum besucht haben, lesen Sie bitte die wichtigen Informationen hier:
Zur Information

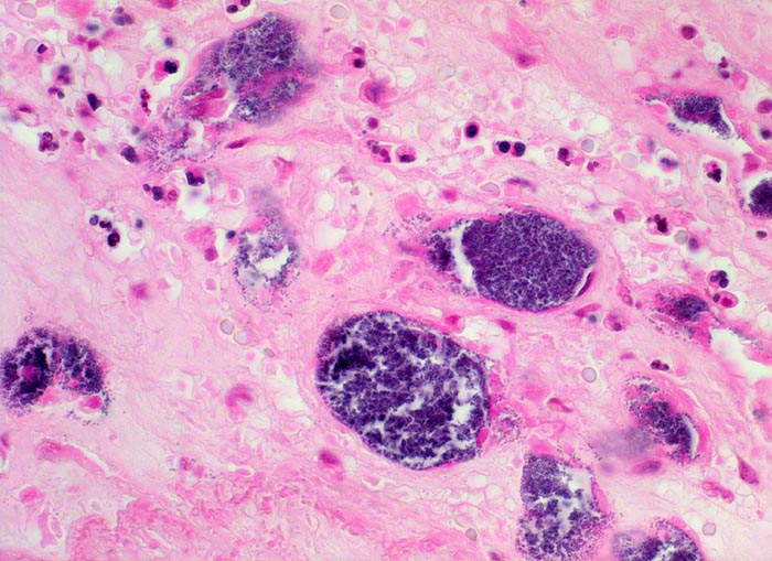
PathoPic – image database / PathoPic ID 4539 - Endocarditis ulcero-polyposa: Staphylokokken

de
Diagnose
Endocarditis ulcero-polyposa: Staphylokokken
Diagnose Gruppe
Entzündung infektiös
Topographie
Aortenklappe
Topographie Gruppe
Kardiovaskuläres System
Beschreibung
Blaue Bakterienrasen eingebettet in Fibrin. Neutrophile Granulozyten.
Klinik
Akut einsetzendes Krankheitsbild mit Fieber, Schüttelfrost, Müdigkeit und Dyspnoe. Blutkulturen wiederholt positiv für Staphylokokkus aureus. Keine Klappenvorschädigung bekannt.
Kommentar
Die akute Endokarditis wird am häufigsten durch Staphylokokkus aureus verursacht.
Bilder Typ
Histologie
Vergrösserung
400
Alter
82
Geschlecht
männlich
Datum
Ersteintrag: 15.04.2002
Update: 06.12.2006