Wichtiger Sicherheitshinweis:
Pathorama wurde zwischen dem
26. und 27. Dezember 2025
angegriffen. Falls Sie die Website in diesem Zeitraum besucht haben, lesen Sie bitte die wichtigen Informationen hier:
Zur Information
Pathopic
HiPaKu
ZyPaKu
Projektinfos
PathoPic - Projekt- und Copyright-Info
About
Pathopic
HiPaKu
ZyPaKu
PathoPic – image database
/
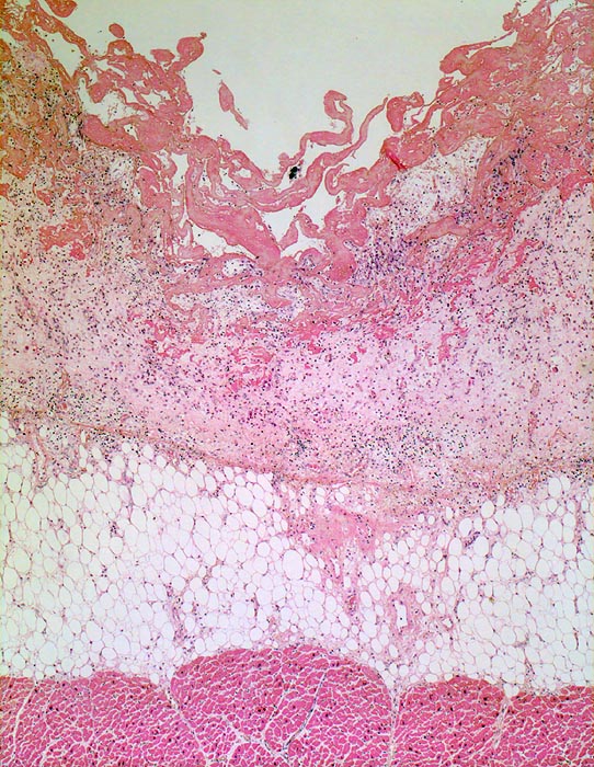
PathoPic ID 4532 - fibrinöse Perikarditis
de
Diagnose
fibrinöse Perikarditis
Diagnose Gruppe
Entzündung / Reparatur
Topographie
Perikard
Topographie Gruppe
Körperhöhlen, Serosa
Beschreibung
Das Epikard bedeckt von
Fibrin. Das Fibrin wird von
Granulationsgewebe organisiert.
Epikardiales Fettgewebe und
Myokard.
Klinik
Patientin verstorben in Urämie.
Kommentar
Nach Abschluss der Organisation bleiben fibröse Perikardverwachsungen zurück (Narbe).
Bilder Typ
Histologie
Vergrösserung
25
Alter
87
Geschlecht
unbekannt
Datum
Ersteintrag: 15.04.2002
CPS
·
©
2025 Institut für Pathologie Basel
/
Dr. med. Katharina Glatz-Krieger
.
·
v2.2