Wichtiger Sicherheitshinweis: Pathorama wurde zwischen dem 26. und 27. Dezember 2025 angegriffen. Falls Sie die Website in diesem Zeitraum besucht haben, lesen Sie bitte die wichtigen Informationen hier:
Zur Information

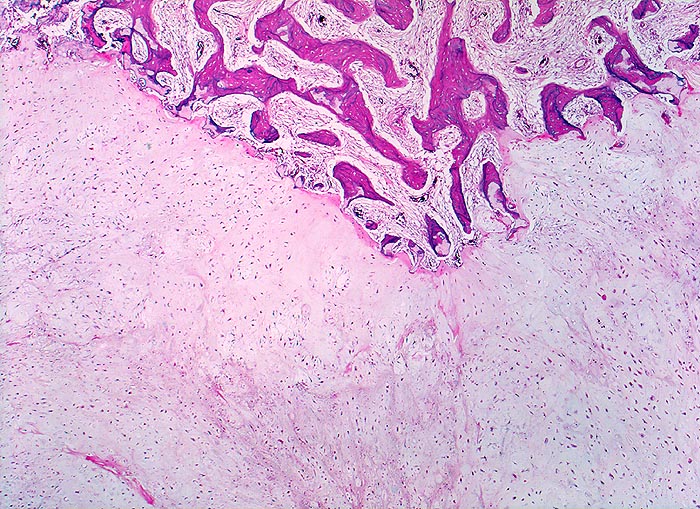
PathoPic – image database / PathoPic ID 4520 - hoch differenziertes Chondrosarkom

de
Diagnose
hoch differenziertes Chondrosarkom
Diagnose Gruppe
maligner Tumor
Topographie
Knochen, Rippe
Topographie Gruppe
Knochen, Knorpel, Gelenke
Beschreibung
Das Tumorgewebe (untere Bildhälfte) bildet reichlich helle chondroide Matrix. Die Zellularität im Tumor ist im Vergleich zu normalem Knorpel leicht erhöht und die Tumorzellen erscheinen etwas grösser als normale Chondrozyten. Das angrenzende Knochengewebe zeigt eine reaktive Markfibrose. An der Invasionsfront infiltriert und destruiert das Sarkom die Spongiosabälkchen.
Klinik
Umschriebene Schmerzen im Bereich des Rippen-Thorax seit über einem Jahr.
Bilder Typ
Histologie
Vergrösserung
25
Alter
58
Geschlecht
männlich
Datum
Ersteintrag: 09.06.2002