Wichtiger Sicherheitshinweis: Pathorama wurde zwischen dem 26. und 27. Dezember 2025 angegriffen. Falls Sie die Website in diesem Zeitraum besucht haben, lesen Sie bitte die wichtigen Informationen hier:
Zur Information

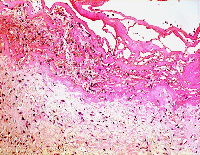
PathoPic – image database / PathoPic ID 4501 - chronische Bursitis mit akutem fibrinösem Schub

de
Diagnose
chronische Bursitis mit akutem fibrinösem Schub
Diagnose Gruppe
Entzündung / Reparatur
Topographie
Bursa praepatellaris
Topographie Gruppe
Weichteile
Beschreibung
Mehrere Fibrinschichten bedecken die Bursainnenseite. Das Fibrin wird organisiert durch Granulationsgewebe und wird auf diese Weise in die Bursawand integriert. Innerhalb des Organisationsgewebes finden sich frische Einblutungen.
Klinik
Exzision der Bursa präpatellaris eines Plattenlegers wegen zunehmender Schmerzen in der Patellargegend bei knieender Tätigkeit und rezidivierenden druckschmerzhaften Weichteilschwellungen über dem rechten Knie.
Kommentar
Vorübergehende verstärkte mechanische Belastung oder Scherkräfte führen zu wiederholter Fibrinexsudation in das Bursalumen und zu Einblutungen.
Bilder Typ
Histologie
Vergrösserung
100
Alter
43
Geschlecht
männlich
Datum
Ersteintrag: 15.04.2002