Wichtiger Sicherheitshinweis: Pathorama wurde zwischen dem 26. und 27. Dezember 2025 angegriffen. Falls Sie die Website in diesem Zeitraum besucht haben, lesen Sie bitte die wichtigen Informationen hier:
Zur Information

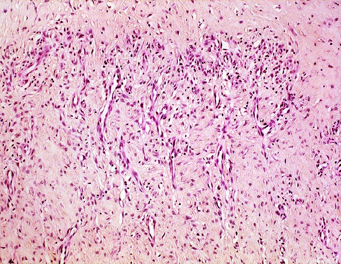
PathoPic – image database / PathoPic ID 4500 - chronische Bursitis

de
Diagnose
chronische Bursitis
Diagnose Gruppe
Entzündung / Reparatur
Topographie
Bursa praepatellaris
Topographie Gruppe
Weichteile
Beschreibung
Organisationsgewebe der Bursawand mit neugebildeten kapillären Gefässen zwischen fibroblastenreichem Bindegewebe. Lockere, vorwiegend perivaskuläre lymphohistiozytäre Infiltrate
Klinik
Exzision der Bursa präpatellaris eines Plattenlegers wegen zunehmender Schmerzen in der Patellargegend bei knieender Tätigkeit und rezidivierenden druckschmerzhaften Weichteilschwellungen über dem rechten Knie.
Kommentar
Das Granulationsgewebe organisiert von innen her die nach mechanischer Belastung immer wieder von Neuem gebildeten Fibrinexsudate. Später wird das Granulationsgewebe ersetzt durch Narbengewebe.
Bilder Typ
Histologie
Vergrösserung
100
Alter
43
Geschlecht
männlich
Datum
Ersteintrag: 15.04.2002