Wichtiger Sicherheitshinweis: Pathorama wurde zwischen dem 26. und 27. Dezember 2025 angegriffen. Falls Sie die Website in diesem Zeitraum besucht haben, lesen Sie bitte die wichtigen Informationen hier:
Zur Information

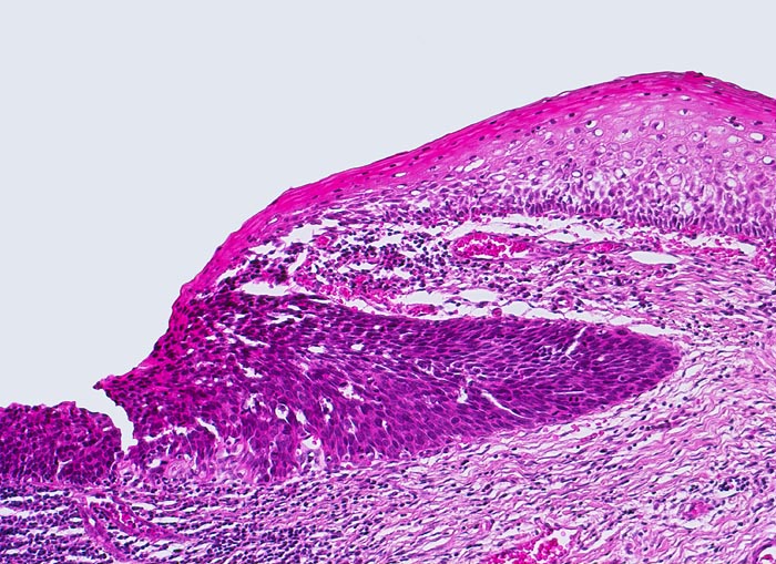
PathoPic – image database / PathoPic ID 4493 - Carcinoma in situ (CIN III) des Plattenepithels

de
Diagnose
Carcinoma in situ (CIN III) des Plattenepithels
Diagnose Gruppe
Präneoplasie/ Atypie/ Dignität?
Topographie
Portio
Topographie Gruppe
Genitalorgane, weiblich
Beschreibung
Abrupter Übergang von nicht dysplastisch verändertem Plattenepithel in schwer dysplastisches Epithel. Im dysplastischen Epithel gleichen alle Zellen den Basalzellen im normalen Epithel. Im normalen Epithel zeigen die luminal gelegenen Zellen deutlich mehr Zytoplasma und kleinere Kerne als die tiefer gelegenen Zellen. Die oberste Schicht besteht aus flachen Zellen mit pyknotischen Kernen und dunkelrotem Zytoplasma ( Parakeratose).
Klinik
Im Portioabstrich anlässlich einer gynäkologischen Kontrolle PapV, Hysterektomie
Bilder Typ
Histologie
Vergrösserung
100
Alter
41
Geschlecht
unbekannt
Datum
Ersteintrag: 15.04.2002
Update: 10.08.2010