Wichtiger Sicherheitshinweis: Pathorama wurde zwischen dem 26. und 27. Dezember 2025 angegriffen. Falls Sie die Website in diesem Zeitraum besucht haben, lesen Sie bitte die wichtigen Informationen hier:
Zur Information

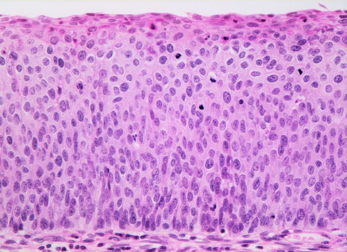
PathoPic – image database / PathoPic ID 4491 - Carcinoma in situ (CIN III) des Plattenepithels

de
Diagnose
Carcinoma in situ (CIN III) des Plattenepithels
Diagnose Gruppe
Präneoplasie/ Atypie/ Dignität?
Topographie
Portio
Topographie Gruppe
Genitalorgane, weiblich
Beschreibung
Plattenepithel mit fehlender Ausreifung (wenig Zytoplasma, grosse Kerne) der dichtstehenden Zellen in der gesamten Epithelbreite. Mitosen lassen sich in diesem schwer dysplastischen Epithel bis in das obere Epitheldrittel nachweisen. An der Epitheloberfläche finden sich einzelne parakeratotische Zellen mit kleinen kondensierten pyknotischen Kernen und dunkelrotem dichtem Zytoplasma.
Klinik
Im Portioabstrich anlässlich einer gynäkologischen Kontrolle Pap V, Hysterektomie
Kommentar
Das Carcinoma in situ wird der schweren Dysplasie (CIN III) gleichgesetzt. Beim Carcinoma in situ lassen sich die dysplastischen Veränderungen und Mitosen in der gesamten Epithelbreite nachweisen.
Bilder Typ
Histologie
Vergrösserung
250
Alter
41
Geschlecht
unbekannt
Datum
Ersteintrag: 15.04.2002
Update: 10.08.2010