Wichtiger Sicherheitshinweis: Pathorama wurde zwischen dem 26. und 27. Dezember 2025 angegriffen. Falls Sie die Website in diesem Zeitraum besucht haben, lesen Sie bitte die wichtigen Informationen hier:
Zur Information

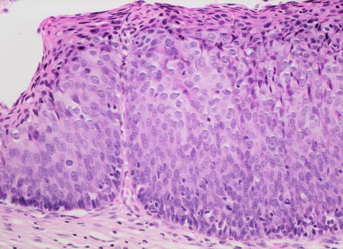
PathoPic – image database / PathoPic ID 4489 - mässige Dysplasie (CIN II) des Plattenepithels und Parakeratose

de
Diagnose
mässige Dysplasie (CIN II) des Plattenepithels und Parakeratose
Diagnose Gruppe
Präneoplasie/ Atypie/ Dignität?
Topographie
Portio
Topographie Gruppe
Genitalorgane, weiblich
Beschreibung
Plattenepithel mit fehlender Ausreifung (wenig Zytoplasma, grosse Kerne) der dichtstehenden Zellen. Das Kernchromatin ist leicht vergröbert. Mitosen lassen sich in diesem mässig dysplastischem Epithel lediglich in der unteren Epithelhälfte nachweisen. An der Epitheloberfläche finden sich mehrere Schichten parakeratotischer Zellen mit kleinen kondensierten pyknotischen Kernen und dunkelrotem dichtem Zytoplasma.
Klinik
Im Portioabstrich anlässlich einer gynäkologischen Kontrolle Pap V, Hysterektomie
Kommentar
Für die Dysplasie des Plattenepithels der Portio gibt es verschiedene Einteilungen:
WHO Einteilung:
kondylomatöse Läsion (HPV Infekt)
leichte Dysplasie (=CIN I)
mässige Dysplasie (=CIN II)
schwere Dysplasie und Carcinoma in situ (=CIN III)
Bethesda-Nomenklatur:
L-SIL (low grade squamous intraepithelial neoplasia=kondylomatöse Läsion oder leichte Dysplasie)
H-SIL (high grade squamous intraepithelial neoplasia=mässige Dysplasie, schwere Dysplasie oder Carcinoma in situ)
Bilder Typ
Histologie
Vergrösserung
200
Alter
41
Geschlecht
unbekannt
Datum
Ersteintrag: 06.10.2002
Update: 10.08.2010