Wichtiger Sicherheitshinweis: Pathorama wurde zwischen dem 26. und 27. Dezember 2025 angegriffen. Falls Sie die Website in diesem Zeitraum besucht haben, lesen Sie bitte die wichtigen Informationen hier:
Zur Information

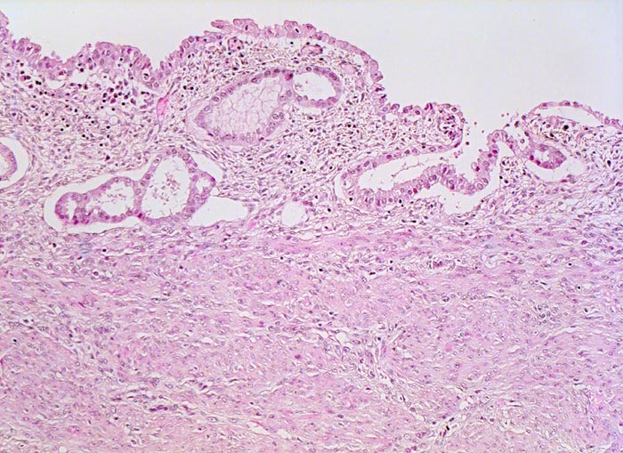
PathoPic – image database / PathoPic ID 4445 - atrophes Endometrium

de
Diagnose
atrophes Endometrium
Diagnose Gruppe
Hypoplasie/ Involution/ Atrophie
Topographie
Uterus
Topographie Gruppe
Genitalorgane, weiblich
Beschreibung
Das Endometrium besteht aus vereinzelten Drüsen mit atrophem Epithel und wenig zellarmem Stroma.
Zusatzbefund
Exophytischer, in das Uteruscavum hineinragender, weicher fokal hämorrhagischer Tumor ausgehend von der Uterushinterwand. Das Tumorgewebe infiltriert die innere Hälfte des Endometriums.
Klinik
Postmenopausale Blutung. Diagnose eines endometrioiden Adenokarzinoms in der Corpuskurettage. Daraufhin Hysterektomie, Adnexektomie und Lymphadenektomie.
Kommentar
Hoch und mässig differenzierte endometrioide Karzinome sind oftmals mit einer Hyperplasie des Endometriums assoziiert, wenig differenzierte Karzinome wie im vorliegenden Fall eher mit einem atrophen Endometrium.
Bilder Typ
Histologie
Vergrösserung
100
Alter
76
Geschlecht
unbekannt
Datum
Ersteintrag: 09.05.2002
Update: 10.08.2010