Wichtiger Sicherheitshinweis: Pathorama wurde zwischen dem 26. und 27. Dezember 2025 angegriffen. Falls Sie die Website in diesem Zeitraum besucht haben, lesen Sie bitte die wichtigen Informationen hier:
Zur Information

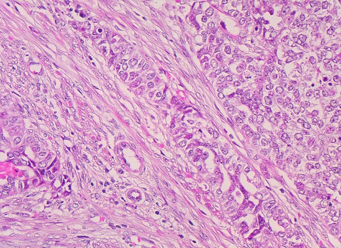
PathoPic – image database / PathoPic ID 4444 - endometrioides Adenokarzinom: Invasion des Myometrium

de
Diagnose
endometrioides Adenokarzinom: Invasion des Myometrium
Diagnose Gruppe
maligner Tumor
Topographie
Uterus
Topographie Gruppe
Genitalorgane, weiblich
Beschreibung
Solide Tumorzellverbände infiltrieren die glatte Muskulatur des Myometrium. Die Tumorzellen haben grosse runde vesikuläre Kerne und wenig Zytoplasma.
Zusatzbefund
Exophytischer, in das Uteruscavum hineinragender, weicher fokal hämorrhagischer Tumor ausgehend von der Uterushinterwand. Das Tumorgewebe infiltriert die innere Hälfte des Endometriums.
Klinik
Postmenopausale Blutung. Diagnose eines endometrioiden Adenokarzinoms in der Corpuskurettage. Daraufhin Hysterektomie, Adnexektomie und Lymphadenektomie.
Kommentar
Das pT Stadium und das FIGO Stadium von Karzinomen, die auf den Uterus beschränkt sind, ist abhängig von der myometranen Infiltrationstiefe:
pT1a/FIGO Ia: Tumor auf das Endometrium beschränkt, keine Invasion des Myometrium.
pT1b/FIGO IB: Invasion der inneren Myometriumhälfte.
pT1c/FIGO IC: Invasion der äusseren Myometriumhälfte.
Das Vorliegen eines Stadium pT1c stellt eine Indikation zur Lymphadenektomie dar.
Bilder Typ
Histologie
Vergrösserung
200
Alter
76
Geschlecht
unbekannt
Datum
Ersteintrag: 06.10.2002
Update: 10.08.2010