Wichtiger Sicherheitshinweis: Pathorama wurde zwischen dem 26. und 27. Dezember 2025 angegriffen. Falls Sie die Website in diesem Zeitraum besucht haben, lesen Sie bitte die wichtigen Informationen hier:
Zur Information

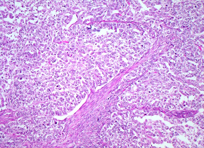
PathoPic – image database / PathoPic ID 4442 - wenig differenziertes endometrioides Adenokarzinom

de
Diagnose
wenig differenziertes endometrioides Adenokarzinom
Diagnose Gruppe
maligner Tumor
Topographie
Uterus
Topographie Gruppe
Genitalorgane, weiblich
Beschreibung
Vorwiegend solide zellreiche invasive Karzinomanteile. Zwischen den soliden Tumorzellplatten schmale Streifen von glatter Muskulatur des Myometriums.
Zusatzbefund
Exophytischer, in das Uteruscavum hineinragender, weicher fokal hämorrhagischer Tumor ausgehend von der Uterushinterwand. Das Tumorgewebe infiltriert die innere Hälfte des Endometriums.
Klinik
Postmenopausale Blutung. Diagnose eines endometrioiden Adenokarzinoms in der Corpuskurettage. Daraufhin Hysterektomie, Adnexektomie und Lymphadenektomie.
Kommentar
Die Gradierung der endometrioiden Adenokarzinome (G1 bis G3) basiert auf dem Anteil solider Tumoranteile verglichen mit dem Anteil glandulärer Tumoranteile. Wenig differenzierte Tumoren bestehen zu über 50% aus soliden Tumorarealen. Schwere Zellatypien in einem architektonisch hochdifferenzierten Tumor mit hohem glandulärem Anteil erhöhen den Tumorgrad. Wenig differenzierte Tumoren haben eine schlechtere Prognose.
Bilder Typ
Histologie
Vergrösserung
100
Alter
76
Geschlecht
unbekannt
Datum
Ersteintrag: 09.05.2002
Update: 10.08.2010