Wichtiger Sicherheitshinweis: Pathorama wurde zwischen dem 26. und 27. Dezember 2025 angegriffen. Falls Sie die Website in diesem Zeitraum besucht haben, lesen Sie bitte die wichtigen Informationen hier:
Zur Information

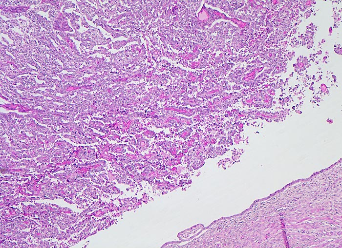
PathoPic – image database / PathoPic ID 4441 - endometrioides Adenokarzinom

de
Diagnose
endometrioides Adenokarzinom
Diagnose Gruppe
maligner Tumor
Topographie
Uterus
Topographie Gruppe
Genitalorgane, weiblich
Beschreibung
Unten im Bild ist das vollständig atrophierte Endometrium erkennbar, welches lediglich aus wenig Stroma bedeckt von Oberflächenepithel besteht. Oben im Bild der zellreiche basophile Tumor, welcher teilweise papilläre Strukturen mit einem zentralen fibrovaskulären Stiel ausbildet.
Zusatzbefund
Exophytischer, in das Uteruscavum hineinragender, weicher fokal hämorrhagischer Tumor ausgehend von der Uterushinterwand. Das Tumorgewebe infiltriert die innere Hälfte des Endometriums.
Klinik
Postmenopausale Blutung. Diagnose eines endometrioiden Adenokarzinoms in der Corpuskurettage. Daraufhin Hysterektomie, Adnexektomie und Lymphadenektomie.
Kommentar
Endometrioide Adenokarzinome des Uterus treten oftmals in der Nachbarschaft von hyperplastischem Endometrium als Folge eines Hyperöstrogenismus auf. Das Endometrium neben wenig differenzierten Tumoren (wie im vorliegenden Fall) ist jedoch häufiger atroph und ist assoziiert mit einer schlechteren Prognose.
Bilder Typ
Histologie
Vergrösserung
400
Alter
76
Geschlecht
unbekannt
Datum
Ersteintrag: 09.05.2002
Update: 10.08.2010