Wichtiger Sicherheitshinweis: Pathorama wurde zwischen dem 26. und 27. Dezember 2025 angegriffen. Falls Sie die Website in diesem Zeitraum besucht haben, lesen Sie bitte die wichtigen Informationen hier:
Zur Information

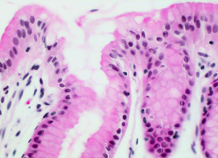
PathoPic – image database / PathoPic ID 4424 - normales Magenantrum: Oberflächenepithel

de
Diagnose
normales Magenantrum: Oberflächenepithel
Diagnose Gruppe
Normalbefund
Topographie
Magenantrum
Topographie Gruppe
Oesophagus, Magen
Beschreibung
Das Oberflächenepithel, welches auch die Foveolae auskleidet ist hochprismatisch mit basalständigen Kernen. Das Stroma der Lamina propria ist locker und enthält keine Entzündungszellen.
Bilder Typ
Histologie
Vergrösserung
400
Alter
55
Geschlecht
männlich
Datum
Ersteintrag: 15.04.2002