Wichtiger Sicherheitshinweis: Pathorama wurde zwischen dem 26. und 27. Dezember 2025 angegriffen. Falls Sie die Website in diesem Zeitraum besucht haben, lesen Sie bitte die wichtigen Informationen hier:
Zur Information

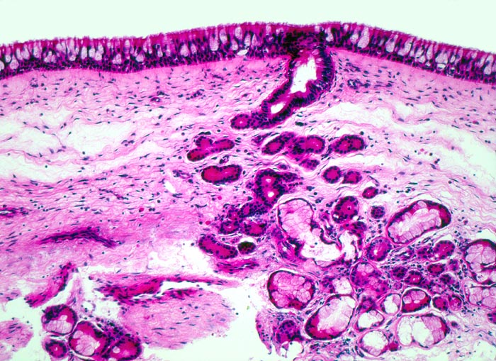
PathoPic – image database / PathoPic ID 4378 - respiratorisches Epithel: Nasennebenhöhlenschleimhaut

de
Diagnose
respiratorisches Epithel: Nasennebenhöhlenschleimhaut
Diagnose Gruppe
Normalbefund
Topographie
Sinus ethmoidalis
Topographie Gruppe
Kopf & Hals, Sinnesorgane
Beschreibung
Relativ dichtes weitgehend entzündungsfreies subepitheliales Stroma mit seromukösen Schleimdrüsen. Die Mukosa besteht aus einem mehrreihigen Epithel mit Flimmerzellen und Becherzellen.
Bilder Typ
Histologie
Alter
40
Geschlecht
unbekannt
Datum
Ersteintrag: 05.04.2002