Wichtiger Sicherheitshinweis: Pathorama wurde zwischen dem 26. und 27. Dezember 2025 angegriffen. Falls Sie die Website in diesem Zeitraum besucht haben, lesen Sie bitte die wichtigen Informationen hier:
Zur Information

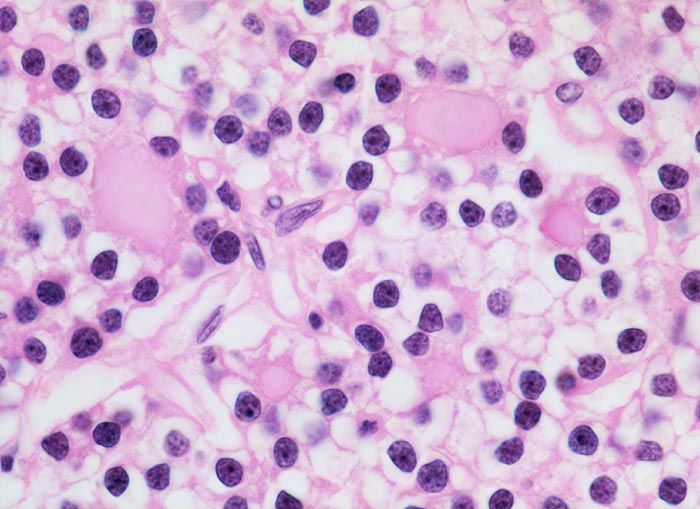
PathoPic – image database / PathoPic ID 4334 - normale Nebenschilddrüse: Pseudofollikel

de
Diagnose
normale Nebenschilddrüse: Pseudofollikel
Diagnose Gruppe
Normalbefund
Topographie
Nebenschilddrüse
Topographie Gruppe
Endokrinium
Beschreibung
Hautpzellen können Pseudofollikel um kolloidartiges Material bilden, was die Abgrenzung einer Nebenschilddrüse von der Schilddrüse (vor allem im Schnellschnitt) erschweren kann.
Bilder Typ
Histologie
Vergrösserung
630
Alter
64
Geschlecht
männlich
Datum
Ersteintrag: 05.04.2002
Update: 06.12.2006