Wichtiger Sicherheitshinweis: Pathorama wurde zwischen dem 26. und 27. Dezember 2025 angegriffen. Falls Sie die Website in diesem Zeitraum besucht haben, lesen Sie bitte die wichtigen Informationen hier:
Zur Information

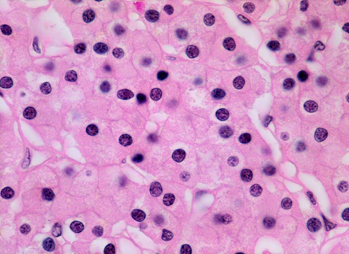
PathoPic – image database / PathoPic ID 4331 - normale Nebenschilddrüse: oxyphile Zellen

de
Diagnose
normale Nebenschilddrüse: oxyphile Zellen
Diagnose Gruppe
Normalbefund
Topographie
Nebenschilddrüse
Topographie Gruppe
Endokrinium
Beschreibung
Degenerierende oxyphile Zellen gehören zur Gruppe der Onkozyten. Die oxyphilen Zellen haben reichlich eosinophiles feinkörniges Zytoplasma (elektronenmikroskopisch sind massenhaft Mitochondrien nachweisbar) und kleine sehr chromatindichte runde Kerne. Sie sind nicht an der Parathormonsekretion beteiligt.
Bilder Typ
Histologie
Vergrösserung
630
Alter
64
Geschlecht
männlich
Datum
Ersteintrag: 05.04.2002