Wichtiger Sicherheitshinweis: Pathorama wurde zwischen dem 26. und 27. Dezember 2025 angegriffen. Falls Sie die Website in diesem Zeitraum besucht haben, lesen Sie bitte die wichtigen Informationen hier:
Zur Information

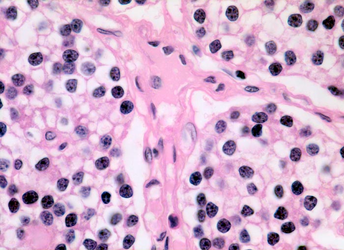
PathoPic – image database / PathoPic ID 4330 - normale Nebenschilddrüse: Hauptzellen

de
Diagnose
normale Nebenschilddrüse: Hauptzellen
Diagnose Gruppe
Normalbefund
Topographie
Nebenschilddrüse
Topographie Gruppe
Endokrinium
Beschreibung
Zu Zellballen angeordnete Hauptzellen. Zwischen den Zellballen verlaufen feine Bindegewebssepten mit Gefässen. Die Hauptzellen bilden das Parathormon. Sie enthalten basophile Granula, Glykogen und Lipide im Zytoplasma. Die Kerne sind rund, das Chromatin ist sehr dicht. Je nach Funktionszustand erscheinen Hauptzellen hell (glykogenreiche wasserhelle Zellen, wenig aktiv) oder dunkel (aktiv).
Bilder Typ
Histologie
Vergrösserung
630
Alter
64
Geschlecht
männlich
Datum
Ersteintrag: 05.04.2002
Update: 18.12.2006