Wichtiger Sicherheitshinweis:
Pathorama wurde zwischen dem
26. und 27. Dezember 2025
angegriffen. Falls Sie die Website in diesem Zeitraum besucht haben, lesen Sie bitte die wichtigen Informationen hier:
Zur Information
Pathopic
HiPaKu
ZyPaKu
Projektinfos
PathoPic - Projekt- und Copyright-Info
About
Pathopic
HiPaKu
ZyPaKu
PathoPic – image database
/
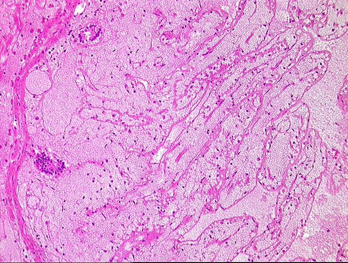
PathoPic ID 432 - embolischer Mesenterialinfarkt
de
Diagnose
embolischer Mesenterialinfarkt
Diagnose Gruppe
vaskulär / Durchblutungsstörung
Topographie
Dünndarm
Topographie Gruppe
Kardiovaskuläres System
Beschreibung
Hämorrhagische Nekrose der Mukosa.
Zusatzbefund
Alter Myokardinfarkt Parietalthrombus. Frische Emboli in eröffneten Ästen der Arteria mesenterica superior.
Bilder Typ
Histologie
Alter
70
Geschlecht
männlich
Datum
Ersteintrag: 20.11.2001
CPS
·
©
2025 Institut für Pathologie Basel
/
Dr. med. Katharina Glatz-Krieger
.
·
v2.2