Wichtiger Sicherheitshinweis: Pathorama wurde zwischen dem 26. und 27. Dezember 2025 angegriffen. Falls Sie die Website in diesem Zeitraum besucht haben, lesen Sie bitte die wichtigen Informationen hier:
Zur Information

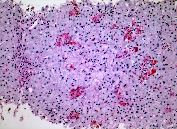
PathoPic – image database / PathoPic ID 4319 - akute Hepatitis C

de
Diagnose
akute Hepatitis C
Diagnose Gruppe
Entzündung infektiös
Topographie
Leber
Topographie Gruppe
Leber, Gallenwege, Pankreas
Beschreibung
Die lobuläre Entzündung ist nur noch gering ausgeprägt. An die Stelle von fleckigen Nekrosen sind Ansammlungen von rot gefärbten mit Zeroidpigment beladenen Makrophagen getreten, welche die nekrotischen Hepatozyten abgebaut haben. Das Portalfeld links im Bild enthält abgesehen von den Histiozyten keine Entzündungszellen.
Klinik
Vor 2 Monaten iv Drogenabusus mit Sklerenikterus zwei Wochen später.
Kommentar
Eine akute virale Hepatitis liegt vor, wenn die Infektion weniger als 1 Monat zurückliegt. Von "unresolved" Hepatitis spricht man, wenn die Infektion vor mehr als einem und weniger als sechs Monaten erfolgte (wie im vorliegenden Fall). Eine chronische Hepatitis liegt vor, wenn die Infektion auch nach 6 Monaten nachweisbar bleibt.
Bilder Typ
Histologie
Alter
32
Geschlecht
unbekannt
Datum
Ersteintrag: 05.04.2002
Update: 02.10.2008