Wichtiger Sicherheitshinweis: Pathorama wurde zwischen dem 26. und 27. Dezember 2025 angegriffen. Falls Sie die Website in diesem Zeitraum besucht haben, lesen Sie bitte die wichtigen Informationen hier:
Zur Information

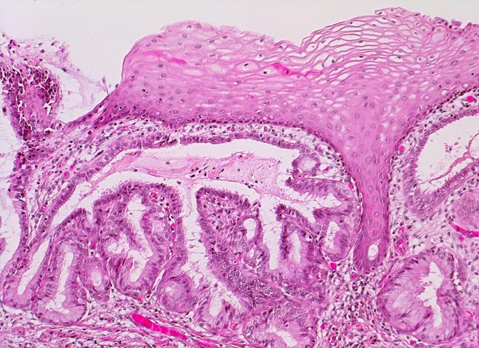
PathoPic – image database / PathoPic ID 4313 - Plattenepithelmetaplasie in der Umwandlungszone

de
Diagnose
Plattenepithelmetaplasie in der Umwandlungszone
Diagnose Gruppe
Normalbefund
Topographie
Zervix
Topographie Gruppe
Genitalorgane, weiblich
Beschreibung
Das endozervikale Epithel wird im Bereich der Umwandlungszone ersetzt durch nicht verhornendes metaplastisches Plattenepithel. Die Zervixdrüsen weisen ein hochprismatisches Epithel mit reichlich hellem Zytoplasma auf.
Bilder Typ
Histologie
Vergrösserung
100
Alter
42
Geschlecht
unbekannt
Datum
Ersteintrag: 05.04.2002
Update: 30.07.2010