Wichtiger Sicherheitshinweis: Pathorama wurde zwischen dem 26. und 27. Dezember 2025 angegriffen. Falls Sie die Website in diesem Zeitraum besucht haben, lesen Sie bitte die wichtigen Informationen hier:
Zur Information

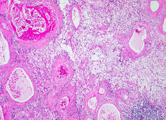
PathoPic – image database / PathoPic ID 4299 - Schwannom mit degenerativen Veränderungen

de
Diagnose
Schwannom mit degenerativen Veränderungen
Diagnose Gruppe
benigner Tumor
Topographie
Muskel, untere Extremität
Topographie Gruppe
Weichteile
Beschreibung
Tumor mit hyalinisierten ektatischen Gefässen mit älteren Thrombosen. Biphasischer Tumor mit kompakten spindelzelligen parallel ausgerichteten Tumorzellverbänden (Antoni A Muster, rund um die Gefässe) und lockeren Verbänden von Zellen mit runden Kernen und spinnwebenartigen Zellfortsätzen (Antoni B Muster). Fokales lymphozytäres Entzündungsinfiltrat.
Klinik
Tumor im Musculus soleus, 2cm Durchmesser
Bilder Typ
Histologie
Vergrösserung
50
Alter
61
Geschlecht
unbekannt
Datum
Ersteintrag: 05.04.2002