Wichtiger Sicherheitshinweis: Pathorama wurde zwischen dem 26. und 27. Dezember 2025 angegriffen. Falls Sie die Website in diesem Zeitraum besucht haben, lesen Sie bitte die wichtigen Informationen hier:
Zur Information

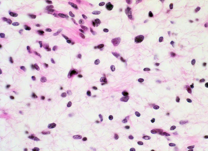
PathoPic – image database / PathoPic ID 4296 - Schwannom: Antoni B Muster

de
Diagnose
Schwannom: Antoni B Muster
Diagnose Gruppe
benigner Tumor
Topographie
Muskel, untere Extremität
Topographie Gruppe
Weichteile
Beschreibung
Lockerer Tumorzellverband mit runden Kernen und spinnwebenartigen Zellfortsätzen. Ein Teil der Zellkerne ist hyperchromatisch (Zeichen der Degeneration). Einige weisen intranukleäre Zytoplasmaeinschlüsse auf.
Klinik
Tumor im Musculus soleus, 2cm Durchmesser
Bilder Typ
Histologie
Vergrösserung
400
Alter
61
Geschlecht
unbekannt
Datum
Ersteintrag: 05.04.2002