Wichtiger Sicherheitshinweis:
Pathorama wurde zwischen dem
26. und 27. Dezember 2025
angegriffen. Falls Sie die Website in diesem Zeitraum besucht haben, lesen Sie bitte die wichtigen Informationen hier:
Zur Information
Pathopic
HiPaKu
ZyPaKu
Projektinfos
PathoPic - Projekt- und Copyright-Info
About
Pathopic
HiPaKu
ZyPaKu
PathoPic – image database
/
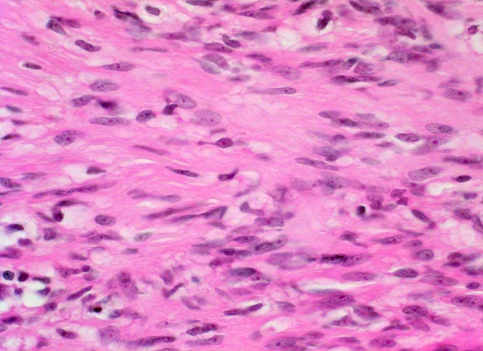
PathoPic ID 4295 - Schwannom: Antoni A Muster
de
Diagnose
Schwannom: Antoni A Muster
Diagnose Gruppe
benigner Tumor
Topographie
Muskel, untere Extremität
Topographie Gruppe
Weichteile
Beschreibung
Kompakte spindelzellige parallel ausgerichtete Tumorzellverbände (Antoni A Muster).
Klinik
Tumor im Musculus soleus, 2cm Durchmesser
Bilder Typ
Histologie
Vergrösserung
400
Alter
61
Geschlecht
unbekannt
Datum
Ersteintrag: 05.04.2002
CPS
·
©
2025 Institut für Pathologie Basel
/
Dr. med. Katharina Glatz-Krieger
.
·
v2.2