Wichtiger Sicherheitshinweis:
Pathorama wurde zwischen dem
26. und 27. Dezember 2025
angegriffen. Falls Sie die Website in diesem Zeitraum besucht haben, lesen Sie bitte die wichtigen Informationen hier:
Zur Information
Pathopic
HiPaKu
ZyPaKu
Projektinfos
PathoPic - Projekt- und Copyright-Info
About
Pathopic
HiPaKu
ZyPaKu
PathoPic – image database
/
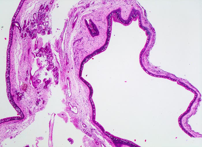
PathoPic ID 4283 - respiratorisches Epithel: Nasennebenhöhlenschleimhaut
de
Diagnose
respiratorisches Epithel: Nasennebenhöhlenschleimhaut
Diagnose Gruppe
Normalbefund
Topographie
Sinus ethmoidalis
Topographie Gruppe
Kopf & Hals, Sinnesorgane
Beschreibung
Das respiratorische Epithel liegt auf einem gefässreichen, weitgehend entzündungsfreien dichten Stroma mit
Schleimdrüsen.
Bilder Typ
Histologie
Alter
40
Geschlecht
unbekannt
Datum
Ersteintrag: 05.04.2002
CPS
·
©
2025 Institut für Pathologie Basel
/
Dr. med. Katharina Glatz-Krieger
.
·
v2.2