Wichtiger Sicherheitshinweis: Pathorama wurde zwischen dem 26. und 27. Dezember 2025 angegriffen. Falls Sie die Website in diesem Zeitraum besucht haben, lesen Sie bitte die wichtigen Informationen hier:
Zur Information

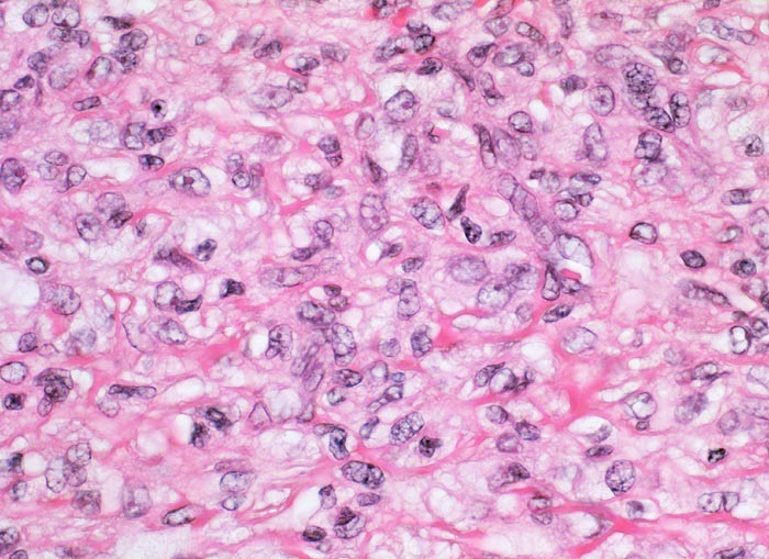
PathoPic – image database / PathoPic ID 4257 - Benignes fibröses Histiozytom

de
Diagnose
Benignes fibröses Histiozytom
Diagnose Gruppe
benigner Tumor
Topographie
Haut, obere Extremität
Topographie Gruppe
Haut
Beschreibung
Fibroblastäre Zellen umgeben von einem kollagenfasrigen Stroma. Das reichlich vorhandene Zytoplasma ist vakuolisiert. Die Zellkerne sind rundlich bis länglich mit feinem Chromatin und enthalten einen kleinen eosinophilen Nukleolus.
Zusatzbefund
Auf Schnitt durch das Hautexzisat ist ein gelber unscharf begrenzter intradermaler Knoten erkennbar.
Klinik
Derber indolenter rotbrauner Knoten am Arm, Durchmesser des Knotens 5mm.
Bilder Typ
Histologie
Vergrösserung
400
Alter
48
Geschlecht
unbekannt
Datum
Ersteintrag: 07.04.2002