Wichtiger Sicherheitshinweis: Pathorama wurde zwischen dem 26. und 27. Dezember 2025 angegriffen. Falls Sie die Website in diesem Zeitraum besucht haben, lesen Sie bitte die wichtigen Informationen hier:
Zur Information

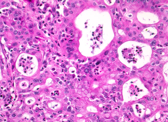
PathoPic – image database / PathoPic ID 4245 - duktales Adenokarzinom des Pankreas

de
Diagnose
duktales Adenokarzinom des Pankreas
Diagnose Gruppe
maligner Tumor
Topographie
Pankreas
Topographie Gruppe
Leber, Gallenwege, Pankreas
Beschreibung
Maligne Tumordrüsen liegen dos à dos und bilden ein kribriformes (siebartiges) Muster. Die Zellkerne sind polymorph, das Chromatin ist vergröbert. Die Lumina der Tumordrüsen sind angefüllt mit neutrophilen Granulozyten.
Zusatzbefund
Unscharf begrenzter weisser derber Herd im Pankreaskopfbereich. Stenosierung und praestenotische Dilatation von Ductus choledochus und Pankreasgang vor der Papille.
Klinik
Zunehmender schmerzloser Ikterus. Sonographische Darstellung einer 4cm grossen echoarmen Raumforderung im Pankreaskopfbereich. Dilatation des Pankreasganges und des Ductus choledochus. Whipple Operation.
Bilder Typ
Histologie
Vergrösserung
200
Alter
48
Geschlecht
männlich
Datum
Ersteintrag: 05.03.2002