Wichtiger Sicherheitshinweis: Pathorama wurde zwischen dem 26. und 27. Dezember 2025 angegriffen. Falls Sie die Website in diesem Zeitraum besucht haben, lesen Sie bitte die wichtigen Informationen hier:
Zur Information

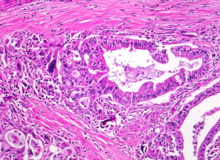
PathoPic – image database / PathoPic ID 4244 - duktales Adenokarzinom des Pankreas

de
Diagnose
duktales Adenokarzinom des Pankreas
Diagnose Gruppe
maligner Tumor
Topographie
Pankreas
Topographie Gruppe
Leber, Gallenwege, Pankreas
Beschreibung
Teils kribriforme Tumordrüsen mit ausgeprägten Zellatypien und Kerngrössenschwankungen. Ein Teil der Drüsenlumina enthält nekrotische Tumorzellen. Die Tumorinfiltrate liegen eingebettet in reichlich desmoplastisches Stroma.
Zusatzbefund
Unscharf begrenzter weisser derber Herd im Pankreaskopfbereich. Stenosierung und praestenotische Dilatation von Ductus choledochus und Pankreasgang vor der Papille.
Klinik
Zunehmender schmerzloser Ikterus. Sonographische Darstellung einer 4cm grossen echoarmen Raumforderung im Pankreaskopfbereich. Dilatation des Pankreasganges und des Ductus choledochus. Whipple Operation.
Bilder Typ
Histologie
Vergrösserung
125
Alter
48
Geschlecht
männlich
Datum
Ersteintrag: 21.12.2002