Wichtiger Sicherheitshinweis: Pathorama wurde zwischen dem 26. und 27. Dezember 2025 angegriffen. Falls Sie die Website in diesem Zeitraum besucht haben, lesen Sie bitte die wichtigen Informationen hier:
Zur Information

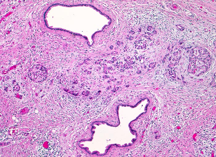
PathoPic – image database / PathoPic ID 4243 - chronische sekundäre obstruktive Pankreatitis

de
Diagnose
chronische sekundäre obstruktive Pankreatitis
Diagnose Gruppe
Entzündung / Reparatur
Topographie
Pankreas
Topographie Gruppe
Leber, Gallenwege, Pankreas
Beschreibung
Zwischen zwei dilatierten Pankreasgängen ist ein stark fibrosiertes Pankreasläppchen mit atrophen Acini erkennbar. Daneben ist eine erhaltene Insel erkennbar. Das Parenchym ist stark fibrosiert. Die andeutungsweise erkennbare Läppchenarchitektur und die fehlenden Zellatypien helfen zur Abgrenzung des entzündlich veränderten atrophen Parenchyms von einem Tumorinfiltrat (ungeordnete Drüsenschläuche).
Zusatzbefund
Unscharf begrenzter weisser derber Herd im Pankreaskopfbereich. Stenosierung und praestenotische Dilatation von Ductus choledochus und Pankreasgang vor der Papille.
Klinik
Zunehmender schmerzloser Ikterus. Sonographische Darstellung einer 4cm grossen echoarmen Raumforderung im Pankreaskopfbereich. Dilatation des Pankreasganges und des Ductus choledochus. Whipple Operation.
Kommentar
Ursache einer obstruktiven Pankreatitis ist meist eine ausgeprägte Stenose des Hauptgangs, am häufigsten durch einen Tumor im Pankreaskopf. Weniger häufig sind große, nahe der Papille eingeklemmte Gallensteine. Durch den langzeitigen Gangverschluß kommt es zum Untergang aller stromaufwärts der Obstruktion liegenden Azinuszellen. Da es im Bereich der chronischen Pankreatitis und des Tumors (Desmoplasie) zu einer Fibrose kommt, ist es makroskopisch oft nicht möglich den Tumor von reaktiven Veränderungen abzugrenzen.
Bilder Typ
Histologie
Vergrösserung
50
Alter
48
Geschlecht
männlich
Datum
Ersteintrag: 05.03.2002