Wichtiger Sicherheitshinweis: Pathorama wurde zwischen dem 26. und 27. Dezember 2025 angegriffen. Falls Sie die Website in diesem Zeitraum besucht haben, lesen Sie bitte die wichtigen Informationen hier:
Zur Information

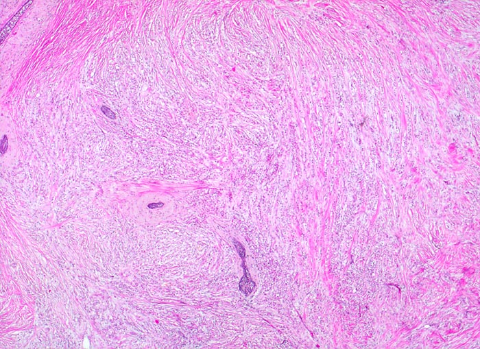
PathoPic – image database / PathoPic ID 4221 - invasiv lobuläres Karzinom

de
Diagnose
invasiv lobuläres Karzinom
Diagnose Gruppe
maligner Tumor
Topographie
Mamma
Topographie Gruppe
Mamma
Beschreibung
Die Tumorzellen bilden keine Drüsen, sondern sind hintereinander zu Strängen angeordnet. Diese liegen eingebettet in reichlich desmoplastisches Stroma. Stehengebliebene Gänge werden von den Tumorzellen "umflossen".
Bilder Typ
Histologie
Vergrösserung
25
Alter
57
Geschlecht
unbekannt
Datum
Ersteintrag: 19.03.2002