Wichtiger Sicherheitshinweis: Pathorama wurde zwischen dem 26. und 27. Dezember 2025 angegriffen. Falls Sie die Website in diesem Zeitraum besucht haben, lesen Sie bitte die wichtigen Informationen hier:
Zur Information

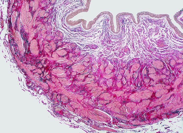
PathoPic – image database / PathoPic ID 4203 - normaler Ureter

de
Diagnose
normaler Ureter
Diagnose Gruppe
Normalbefund
Topographie
Ureter
Topographie Gruppe
Niere, Harnwege
Beschreibung
Mehrreihiges Urothel über lockerem subepithelialem Stroma. Daran angrenzend das Stratum longitudinale der (gelben) Harnblasenwandmuskulatur und schliesslich das Stratum circulare. Angrenzend an die Muskulatur die gefässführende Adventitia.
Bilder Typ
Histologie
Vergrösserung
25
Alter
54
Geschlecht
männlich
Datum
Ersteintrag: 05.03.2002