Wichtiger Sicherheitshinweis:
Pathorama wurde zwischen dem
26. und 27. Dezember 2025
angegriffen. Falls Sie die Website in diesem Zeitraum besucht haben, lesen Sie bitte die wichtigen Informationen hier:
Zur Information
Pathopic
HiPaKu
ZyPaKu
Projektinfos
PathoPic - Projekt- und Copyright-Info
About
Pathopic
HiPaKu
ZyPaKu
PathoPic – image database
/
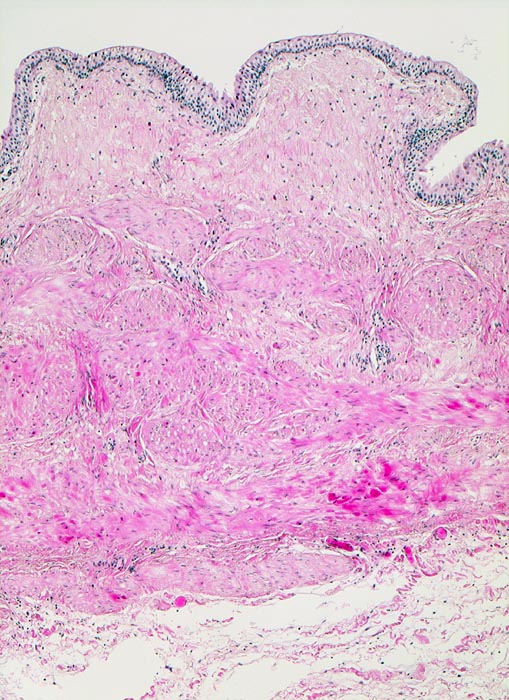
PathoPic ID 4198 - normaler Ureter
de
Diagnose
normaler Ureter
Diagnose Gruppe
Normalbefund
Topographie
Ureter
Topographie Gruppe
Niere, Harnwege
Beschreibung
Mehrreihiges Urothel ohne Atypien. Darunter die bindegewebige Submucosa und die aus mehreren Lagen bestehtende glatte Muskulatur der Ureterwand.
Bilder Typ
Histologie
Vergrösserung
50
Alter
54
Geschlecht
männlich
Datum
Ersteintrag: 05.03.2002
CPS
·
©
2025 Institut für Pathologie Basel
/
Dr. med. Katharina Glatz-Krieger
.
·
v2.2