Wichtiger Sicherheitshinweis: Pathorama wurde zwischen dem 26. und 27. Dezember 2025 angegriffen. Falls Sie die Website in diesem Zeitraum besucht haben, lesen Sie bitte die wichtigen Informationen hier:
Zur Information

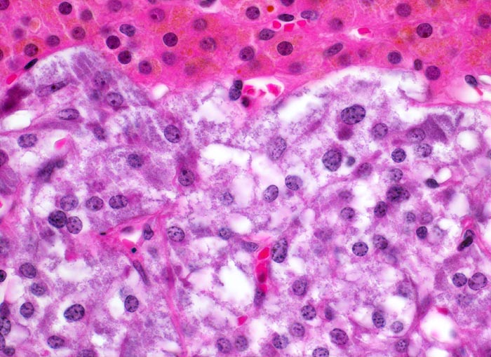
PathoPic – image database / PathoPic ID 4195 - normale Nebenniere: Zona reticularis und Nebennierenmark

de
Diagnose
normale Nebenniere: Zona reticularis und Nebennierenmark
Diagnose Gruppe
Normalbefund
Topographie
Nebenniere
Topographie Gruppe
Endokrinium
Beschreibung
Schichten der Nebenniere von oben nach unten:
Zona reticularis: Eosinophile Zellen mit braunem intrazytoplasmatischem Lipofuszinpigment.
Nebennierenmark: basophile Zellen mit reichlich Zytoplasma bilden Zellballen.
Kommentar
Das kombinierte Gewicht beider Nebennieren bei gesunden Erwachsenen Frauen und Männern beträgt ca. 8g. Die Dicke der normalen Nebennierenrinde beträgt 1mm (0.7-1.3mm).
Bilder Typ
Histologie
Vergrösserung
400
Alter
54
Geschlecht
männlich
Datum
Ersteintrag: 05.03.2002
Update: 15.08.2012