Wichtiger Sicherheitshinweis: Pathorama wurde zwischen dem 26. und 27. Dezember 2025 angegriffen. Falls Sie die Website in diesem Zeitraum besucht haben, lesen Sie bitte die wichtigen Informationen hier:
Zur Information

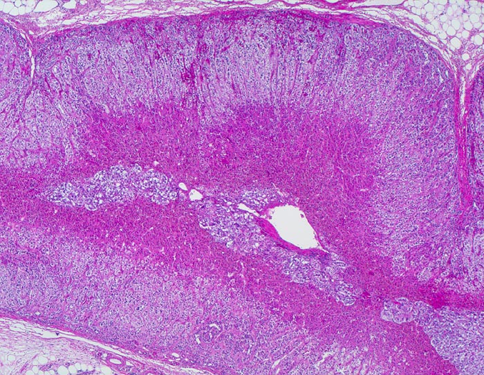
PathoPic – image database / PathoPic ID 4193 - normale Nebenniere

de
Diagnose
normale Nebenniere
Diagnose Gruppe
Normalbefund
Topographie
Nebenniere
Topographie Gruppe
Endokrinium
Beschreibung
Schichten der Nebenniere:
Zona fasciculata: Helles Areal der Nierenrinde. Bildungsort für Glucocorticoide.
Zona reticularis: Dunkles Areal angrenzend an das Nebennierenmark. Bildungsort für Sexualhormone.
Nebennierenmark
Kommentar
Das kombinierte Gewicht beider Nebennieren bei gesunden Erwachsenen Frauen und Männern beträgt ca. 8g. Die Dicke der normalen Nebennierenrinde beträgt 1mm (0.7-1.3mm).
Bilder Typ
Histologie
Vergrösserung
25
Alter
54
Geschlecht
männlich
Datum
Ersteintrag: 05.03.2002
Update: 15.08.2012