Wichtiger Sicherheitshinweis: Pathorama wurde zwischen dem 26. und 27. Dezember 2025 angegriffen. Falls Sie die Website in diesem Zeitraum besucht haben, lesen Sie bitte die wichtigen Informationen hier:
Zur Information

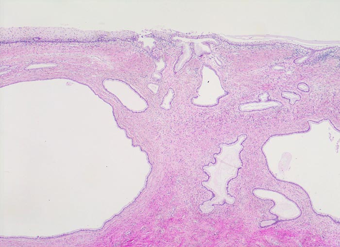
PathoPic – image database / PathoPic ID 4186 - Umwandlungszone mit Zervixdrüsenretentionszysten

de
Diagnose
Umwandlungszone mit Zervixdrüsenretentionszysten
Diagnose Gruppe
Normalbefund
Topographie
Zervix
Topographie Gruppe
Genitalorgane, weiblich
Beschreibung
Umwandlungszone: metaplastisches Plattenepithel bedeckt das endozervikale Drüsenfeld. Die Plattenepithelmetaplasie führt zu Verschlüssen der Drüsenausführgänge. Deshalb ist ein Teil der endozervikalen Drüsen stark dilatiert.
Bilder Typ
Histologie
Vergrösserung
25
Alter
42
Geschlecht
unbekannt
Datum
Ersteintrag: 04.03.2002
Update: 30.07.2010