Wichtiger Sicherheitshinweis: Pathorama wurde zwischen dem 26. und 27. Dezember 2025 angegriffen. Falls Sie die Website in diesem Zeitraum besucht haben, lesen Sie bitte die wichtigen Informationen hier:
Zur Information

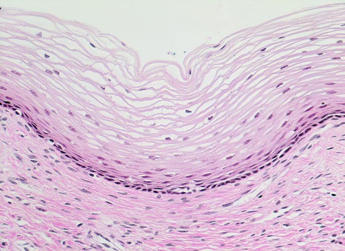
PathoPic – image database / PathoPic ID 4182 - normales Plattenepithel der Portio

de
Grad
Diagnose
normales Plattenepithel der Portio
Diagnose Gruppe
Normalbefund
Topographie
Portio
Topographie Gruppe
Genitalorgane, weiblich
Beschreibung
Mehrschichtiges unverhorntes Plattenepithel. Normale Ausreifung von den basalen zu den apikalen Zellen mit zunehmender Verkleinerung der Kerne. Dichtes entzündungsfreies Stroma.
Bilder Typ
Histologie
Vergrösserung
200
Alter
42
Geschlecht
unbekannt
Datum
Ersteintrag: 05.03.2002
Update: 10.08.2010