Wichtiger Sicherheitshinweis:
Pathorama wurde zwischen dem
26. und 27. Dezember 2025
angegriffen. Falls Sie die Website in diesem Zeitraum besucht haben, lesen Sie bitte die wichtigen Informationen hier:
Zur Information
Pathopic
HiPaKu
ZyPaKu
Projektinfos
PathoPic - Projekt- und Copyright-Info
About
Pathopic
HiPaKu
ZyPaKu
PathoPic – image database
/
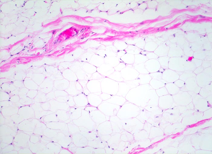
PathoPic ID 4062 - reifes Fettgewebe
de
Diagnose
reifes Fettgewebe
Diagnose Gruppe
Normalbefund
Topographie
Weichteile Rumpf
Topographie Gruppe
Weichteile
Beschreibung
Reife Fettzellen mit reichlich transparentem Zytoplasma. Das Fettgewebe wird von schmalen fibrovaskulären Septen durchzogen.
Bilder Typ
Histologie
Vergrösserung
100
Alter
44
Geschlecht
unbekannt
Datum
Ersteintrag: 04.03.2002
CPS
·
©
2025 Institut für Pathologie Basel
/
Dr. med. Katharina Glatz-Krieger
.
·
v2.2