Wichtiger Sicherheitshinweis: Pathorama wurde zwischen dem 26. und 27. Dezember 2025 angegriffen. Falls Sie die Website in diesem Zeitraum besucht haben, lesen Sie bitte die wichtigen Informationen hier:
Zur Information

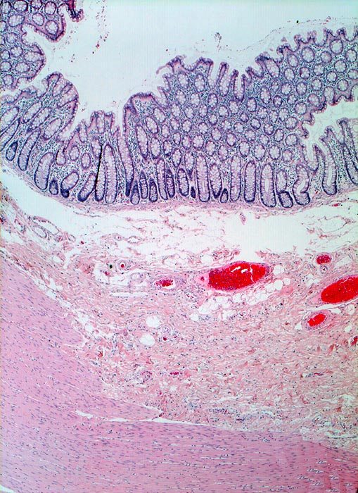
PathoPic – image database / PathoPic ID 4057 - normale Kolonschleimhaut

de
Diagnose
normale Kolonschleimhaut
Diagnose Gruppe
Normalbefund
Topographie
Kolon
Topographie Gruppe
Darm, Anus
Beschreibung
Kolonmucosa mit regelmässig parallel angeordneten Krypten. In den oberen Abschnitten sind die Krypten orthogonal angeschnitten und erscheinen deshalb als runde Drüsenschläuche. In der Lamina propria ein lockeres Infiltrat von Entzündungszellen. Unterhalb der schmalen Lamina muscularis mucosae die fibrovaskuläre Schicht der Submucosa. Ganz unten im Bild die glattmuskuläre Muscularis propria.
Bilder Typ
Histologie
Vergrösserung
25
Alter
67
Geschlecht
unbekannt
Datum
Ersteintrag: 04.03.2002