Wichtiger Sicherheitshinweis:
Pathorama wurde zwischen dem
26. und 27. Dezember 2025
angegriffen. Falls Sie die Website in diesem Zeitraum besucht haben, lesen Sie bitte die wichtigen Informationen hier:
Zur Information
Pathopic
HiPaKu
ZyPaKu
Projektinfos
PathoPic - Projekt- und Copyright-Info
About
Pathopic
HiPaKu
ZyPaKu
PathoPic – image database
/
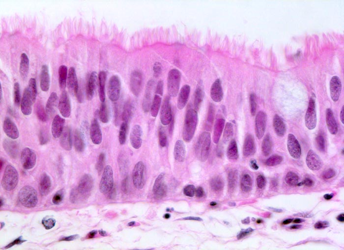
PathoPic ID 4053 - Nasenschleimhaut
de
Diagnose
Nasenschleimhaut
Diagnose Gruppe
Normalbefund
Topographie
Nase
Topographie Gruppe
Kopf & Hals, Sinnesorgane
Beschreibung
Mehrreihiges respiratorisches Flimmerepithel mit gut erkennbaren Flimmerhaaren an der Epitheloberfläche. Eingestreut eine einzelne
Becherzelle.
Bilder Typ
Histologie
Vergrösserung
630
Alter
20
Geschlecht
männlich
Datum
Ersteintrag: 04.03.2002
CPS
·
©
2025 Institut für Pathologie Basel
/
Dr. med. Katharina Glatz-Krieger
.
·
v2.2