Wichtiger Sicherheitshinweis: Pathorama wurde zwischen dem 26. und 27. Dezember 2025 angegriffen. Falls Sie die Website in diesem Zeitraum besucht haben, lesen Sie bitte die wichtigen Informationen hier:
Zur Information

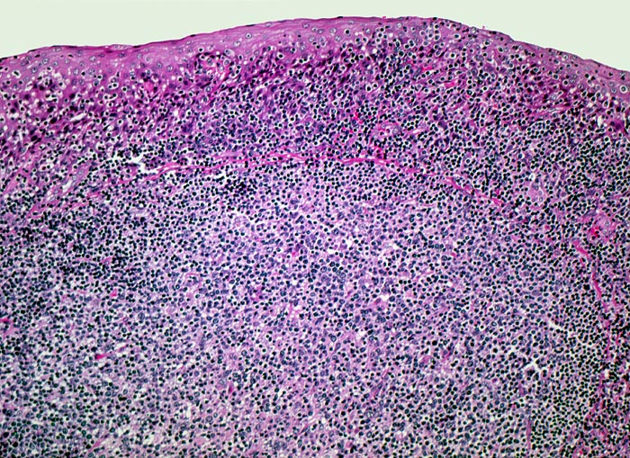
PathoPic – image database / PathoPic ID 4051 - Tonsille mit Sekundärfollikel

de
Diagnose
Tonsille mit Sekundärfollikel
Diagnose Gruppe
Normalbefund
Topographie
Tonsille
Topographie Gruppe
Lymphatische Gewebe, KM, Milz
Beschreibung
Ein sekundärer Lymphfollikel mit Keimzentrum wird bedeckt von Plattenepithel der Mundschleimhaut. Zahlreiche Lymphozyten infiltrieren das darüberliegende Epithel, was in der Tonsille ein Normalbefund darstellt.
Bilder Typ
Histologie
Vergrösserung
100
Alter
20
Geschlecht
männlich
Datum
Ersteintrag: 04.03.2002