Wichtiger Sicherheitshinweis: Pathorama wurde zwischen dem 26. und 27. Dezember 2025 angegriffen. Falls Sie die Website in diesem Zeitraum besucht haben, lesen Sie bitte die wichtigen Informationen hier:
Zur Information

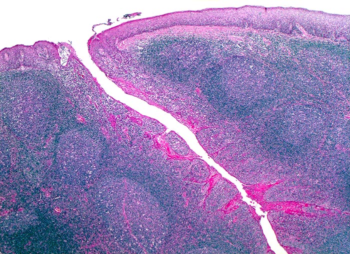
PathoPic – image database / PathoPic ID 4050 - chronische hyperplastische Tonsillitis

de
Diagnose
chronische hyperplastische Tonsillitis
Diagnose Gruppe
Hyperplasie / Hypertrophie
Topographie
Tonsille
Topographie Gruppe
Lymphatische Gewebe, KM, Milz
Beschreibung
Das hyperplastische lymphatische Gewebe wird bedeckt von Plattenepithel, welches eine schlitzförmige Einsenkung (Krypte) bildet. Unter dem Plattenepithel zahlreiche Sekundärfollikel.
Bilder Typ
Histologie
Vergrösserung
25
Alter
20
Geschlecht
männlich
Datum
Ersteintrag: 04.03.2002