Wichtiger Sicherheitshinweis: Pathorama wurde zwischen dem 26. und 27. Dezember 2025 angegriffen. Falls Sie die Website in diesem Zeitraum besucht haben, lesen Sie bitte die wichtigen Informationen hier:
Zur Information

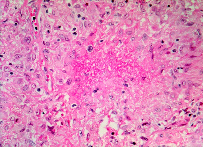
PathoPic – image database / PathoPic ID 4042 - Lymphknotensarkoidose (Morbus Boeck): Granulom mit Nekrose

de
Diagnose
Lymphknotensarkoidose (Morbus Boeck): Granulom mit Nekrose
Diagnose Gruppe
Systemerkrankung/Immunpathologie
Topographie
Lymphknoten, inguinal
Topographie Gruppe
Lymphatische Gewebe, KM, Milz
Beschreibung
Exsudatives Granulom mit zentraler Nekrose (Bildmitte).
Klinik
Vergrösserte inguinale Lymphknoten bei bekannter Sarkoidose mit Befall der Lungen.
Kommentar
Seltenerweise kann man auch bei einer Sarkoidose verkäsende Granulome nachweisen. Zum histologischen Ausschluss einer produktiven Tuberkulose muss in diesem Fall eine Ziehl-Neelsen-Färbung durchgeführt werden, wobei ein negativer Bakteriennachweis die Tuberkulose nicht ausschliesst.
Bilder Typ
Histologie
Vergrösserung
320
Alter
37
Geschlecht
unbekannt
Datum
Ersteintrag: 28.09.2002