Wichtiger Sicherheitshinweis: Pathorama wurde zwischen dem 26. und 27. Dezember 2025 angegriffen. Falls Sie die Website in diesem Zeitraum besucht haben, lesen Sie bitte die wichtigen Informationen hier:
Zur Information

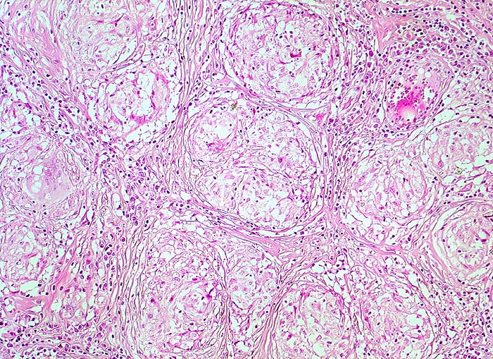
PathoPic – image database / PathoPic ID 4015 - Lymphknotensarkoidose (Morbus Boeck) Granulome mit Fibrose

de
Zeitverlauf
Diagnose
Lymphknotensarkoidose (Morbus Boeck) Granulome mit Fibrose
Diagnose Gruppe
Systemerkrankung/Immunpathologie
Topographie
Lymphknoten, inguinal
Topographie Gruppe
Lymphatische Gewebe, KM, Milz
Beschreibung
Späteres Stadium einer Sarkoidose. Für Sarkoidose typische konzentrische Fibrose in der Peripherie der Granulome. Das Parenchym des Lymphknotens ist verdrängt. Die Granulome stehen Rücken an Rücken und konfluieren nicht.
Klinik
Bihiläre Lymphadenopathie bei Sarkoidose. Plötzlicher Herztod.
Bilder Typ
Histologie
Vergrösserung
100
Alter
42
Geschlecht
männlich
Datum
Ersteintrag: 13.01.2002